
Травма постійного зуба у дитини - одна з найскладніших задач для дитячого стоматолога. Знати, розуміти, вміти надати допомогу - стратегічно важливо, оскільки може стояти питання збереження зуба на майбутнє у дитини. Наш курс саме для того, аби озброїти лікарів відповідним знаннями і вміннями.
Дана тема дуже часто дискутується серед дитячих стоматологів та лікарів, які займаються лікуванням дітей.
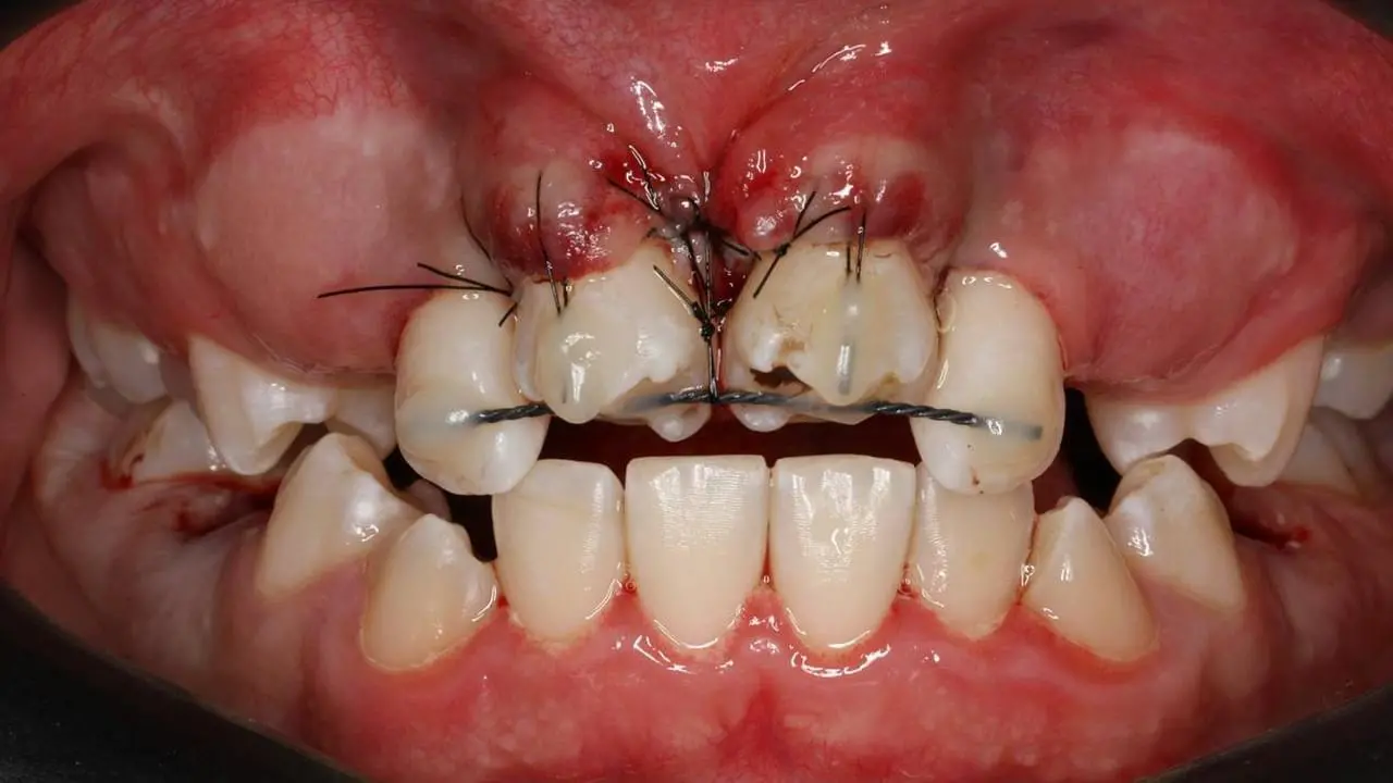
Коли лікар-стоматолог стикається з травмою постійного зуба у дитини, часто необхідно мобілізувати максимум знань і навиків: від реставрації до хірургії. Але найперше - це правильно визначити тактику. Наш курс допоможе відповідним чином приймати рішення в різних клінічних випадках травми постійних зубів у дітей. І не тільки приймати рішення, а і належно їх реалізувати в лікувальну тактику. На детальних клінічних прикладах ми демонструємо належну клінічну тактику та техніки, які часто допомагають врятувати постійні зуби юних пацієнтів.
Курс стратегічно важливий для кожного лікаря-стоматолога: дитячого, загального чи будь-якої іншої спеціалізації. Особливо рекомендований для лікарів-інтернів та студентів, оскільки на реальних клінічних випадках дозволить побачити різні рішення лікування травми постійних зубів у дітей і в потрібний момент допомогти дитині зберегти постійні зуби.